Research Article - (2025) Volume 10, Issue 2
Micronucleus Frequency in Buccal Mucosal Cells Among Sudanese Asthmatic Patients Using Salbutamol Inhalers in Shendi City: A Comparative Cross-Sectional Study
2Department of Medical Microbiology, Faculty of Medical, Laboratory Sciences, Shendi University, Shendi, Sudan
Received Date: Nov 05, 2025 / Accepted Date: Dec 16, 2025 / Published Date: Dec 22, 2025
Copyright: ©2025 Ghanem Mohammed Mahjaf, et al. This is an open-access article distributed under the terms of the Creative Commons Attribution License, which permits unrestricted use, distribution, and reproduction in any medium, provided the original author and source are credited.
Citation: Alawad, A. E. M., Alhfyan, A. A. A., Elsheikh, M. A., Elemam, I. B., Zeen, A. A. A. M, et al. (2025). Micronucleus Frequency in Buccal Mucosal Cells Among Sudanese Asthmatic Patients Using Salbutamol Inhalers in Shendi City: A Comparative Cross-Sectional Study. Int J Cancer Res Ther, 10(2), 01-06.
Abstract
Background: Asthma is a chronic inflammatory disease commonly managed using salbutamol inhalers. Prolonged exposure to inhaled medications may induce genotoxic alterations, including micronucleus (MN) formation in buccal epithelial cells. Limited data exist regarding such effects among Sudanese asthmatic patients. Objective: To assess the frequency of micronuclei in buccal mucosa among asthmatic patients using salbutamol inhalers and compare the findings with healthy controls in Shendi City. Methods: A descriptive comparative cross-sectional study was conducted on 100 participants: 50 asthmatic patients using salbutamol inhalers and 50 age- and sex-matched healthy controls. Buccal smears were collected, fixed with 95% ethanol, and stained using the Papanicolaou technique. Micronuclei were examined microscopically, and data were analyzed using SPSS employing Chi-square and ANOVA tests. Results: Micronucleus positivity was detected in all asthmatic patients (100%) compared with 80% among controls (p = 0.000). MN frequency increased significantly with age group 20–40 years (52%, p = 0.026) and with duration of inhaler use (p = 0.000). No significant association was found between MN frequency and gender (p = 0.072). Conclusion: Long-term use of salbutamol inhalers is associated with a significant increase in micronucleus frequency in buccal epithelial cells, suggesting potential genotoxic effects. Further studies using DNA-specific stains, such as Feulgen, are recommended to validate these findings.
Keywords
Asthma, Salbutamol, Buccal Mucosa, Micronucleus, Genotoxicity, Cytology, Sudanese PatientsIntroduction
Asthma is a prevalent chronic inflammatory disorder of the airways, characterized by recurrent episodes of wheezing, dyspnea, chest tightness, and coughing, particularly at night or early morning [1]. Its global burden continues to rise, with an estimated prevalence of 11.5% among individuals aged 5–69 years according to a 2019 systematic analysis [2]. The development and severity of asthma are influenced by a combination of genetic, environmental, and immunologic factors, including cytokine gene polymorphisms, allergen exposure, and dysregulated T-helper cell responses [3-7]. Salbutamol, a short-acting β2-adrenergic agonist (SABA), remains a cornerstone in the management of acute asthma symptoms due to its rapid bronchodilatory effect [8].
Despite its clinical benefits, increasing attention has been directed toward the potential cytotoxic and genotoxic effects of prolonged inhaler use, particularly as aerosolized particles repeatedly contact the oral mucosa. Micronucleus (MN) formation in buccal epithelial cells is a well-established biomarker for detecting chromosomal damage and genomic instability [9]. Buccal MN assays offer a non-invasive and sensitive method for monitoring genotoxic exposure in human populations [10]. Previous studies have reported elevated MN frequencies in asthmatic patients, with associations to disease severity and inhalation therapy duration [11-13]. However, limited data exist regarding the genotoxic impact of salbutamol use among Sudanese populations, particularly in Shendi City. Therefore, this study aims to assess MN frequency in the buccal mucosa of asthmatic patients using salbutamol inhalers and to compare the findings with healthy controls.
Materials and Methods
Study Design and Setting
A descriptive comparative cross-sectional study was conducted in Shendi City, River Nile State, Sudan, from August to December 2025. The study aimed to evaluate micronucleus (MN) frequency in buccal mucosal cells of asthmatic patients using salbutamol inhalers.
Study Population
The study population consisted of asthmatic patients of different age groups who had been using salbutamol inhalers for long-term management. A control group of apparently healthy individuals with no history of asthma or inhaler use was included for comparison.
Inclusion and Exclusion Criteria Inclusion criteria:
• Diagnosed asthmatic patients using salbutamol inhalers
• Both sexes and all age groups Exclusion criteria:
• Current or former smokers
• Alcohol consumers
• Individuals with systemic diseases or oral lesions
• Participants with insufficient clinical data
Sample Size and Sampling Technique
A total of 100 buccal smears were analyzed, comprising 50 samples from asthmatic patients (cases) and 50 samples from apparently healthy individuals (controls). A convenience sampling technique was used.
Sample Collection and Fixation
Buccal epithelial cells were collected from each participant using a sterile toothbrush. The collected material was smeared onto labeled frosted glass slides and immediately fixed in 95% ethanol. The slides were then rehydrated through descending alcohol grades.
Microscopic Examination
Slides were examined under a light microscope at 10× and 40× magnifications. Micronuclei were identified according to established cytological criteria, including round or oval DNA-containing structures located in the cytoplasm adjacent to the main nucleus.
Data Collection Tools
Participant demographic and clinical information—including age, gender, asthma duration, and inhaler use frequency—was obtained using a standardized questionnaire.
Method Used for the Detection of Micronuclei
The Papanicolaou staining technique utilizes a combination of basic and acidic dyes, each targeting specific cellular components based on ionic interactions. Basic dyes bind to acidic nuclear material, while acidic dyes stain cytoplasmic elements. Hematoxylin, the primary neutral dye, imparts a blue coloration to nuclei by attaching to the sulfate groups of DNA due to its strong affinity for chromatin. OG-6 serves as an acidic counterstain that highlights the cytoplasm of mature keratinized cells in varying intensities of orange. The EA series—composed of eosin Y, light green SF, and related dyes—provides additional differentiation by staining the cytoplasm of squamous cells, nucleoli, red blood cells, and cilia. Collectively, these dyes enhance the visualization of nuclear abnormalities, including micronuclei [14].
Result Interpretation
Stained slides were examined microscopically using 10×/0.25 and 40×/0.65 objective lenses. Micronuclei were identified as small, round to oval, well-defined cytoplasmic chromatin bodies located adjacent to, but distinct from, the main nucleus, consistent with established diagnostic criteria.
Quality Control
Quality control measures were applied throughout all stages of specimen collection, staining, and microscopic evaluation to ensure accuracy, reliability, and consistency of the results. All procedures were performed according to standardized cytological protocols.
Data Analysis
Data were analyzed using IBM SPSS software. Frequencies, Chi-square tests, independent t-tests, and ANOVA were applied where appropriate. Statistical significance was considered at p < 0.05.
Results
A total of 100 participants were included in the study: 50 asthmatic patients using salbutamol inhalers (case group) and 50 apparently healthy individuals (control group). Buccal smears from all participants were evaluated for the presence and frequency of micronuclei using the Papanicolaou staining technique. Micronucleus (MN) detection was significantly higher among asthmatic patients compared with controls. All cases (100%) showed positive MN findings, whereas only 40 individuals (80%) in the control group were MN-positive (p = 0.000). Micronucleus grading among the study group ranged from normal to severe, with the majority showing mild to moderate elevation. Meanwhile, the control group exhibited predominantly normal findings. Demographic variables were analyzed to determine associations with MN frequency. Age showed a statistically significant association, with the highest MN frequency recorded among participants aged 20–40 years (p = 0.026). Duration of salbutamol inhaler use was also significantly correlated with MN positivity, where longer durations were associated with higher MN frequency (p = 0.000). However, gender did not show a statistically significant relationship with MN frequency (p = 0.072).
|
Group |
Micronucleus Positive |
Micronucleus Negative |
Total |
P-value |
|
Case |
50 (100%) |
0 (0%) |
50 |
0.000 |
|
Control |
40 (80%) |
10 (20%) |
50 |
|
|
Total |
90 (90%) |
10 (10%) |
100 |
Table 1: Detection of Micronuclei in Case and Control Groups
|
MN Frequency Grading |
Frequency |
Percentage |
|
Normal (≤5%) |
9 |
18% |
|
Mild (6–15%) |
17 |
34% |
|
Moderate (16–30%) |
18 |
36% |
|
Severe (≥30%) |
6 |
12% |
|
Total |
50 |
100% |
Table 2: Micronucleus Frequency (Grading) in Case Group
|
MN Frequency Grading |
Frequency |
Percentage |
|
Normal (≤5%) |
49 |
98% |
|
Mild (6–15%) |
0 |
0% |
|
Moderate (16–30%) |
1 |
2% |
|
Severe (≥30%) |
0 |
0% |
|
Total |
50 |
100% |
Table 3: Micronucleus Frequency (Grading) in Control Group
|
Age Group |
MN Positive |
MN Negative |
Total |
P-value |
|
5–19 years |
10 (20%) |
0 (0%) |
10 |
0.026 |
|
20–40 years |
26 (52%) |
0 (0%) |
26 |
|
|
>40 years |
14 (28%) |
0 (0%) |
14 |
|
|
Total |
50 (100%) |
0 (0%) |
50 |
Table 4: Association Between MN Frequency and Age Groups
|
Duration of Use |
MN Positive |
MN Negative |
Total |
P-value |
|
1–5 years |
13 (26%) |
0 (0%) |
13 |
0.000 |
|
6–10 years |
23 (46%) |
0 (0%) |
23 |
|
|
>10 years |
14 (28%) |
0 (0%) |
14 |
|
|
Total |
50 (100%) |
0 (0%) |
50 |
Table 5: Association Between MN Frequency and Duration of Salbutamol Inhaler Use
|
Gender |
MN Positive |
MN Negative |
Total |
P-value |
|
Male |
11 (22%) |
0 (0%) |
11 |
|
|
Female |
39 (78%) |
0 (0%) |
39 |
|
|
Total |
50 (100%) |
0 (0%) |
50 |
|
Table 6: Association Between MN Frequency and Gender
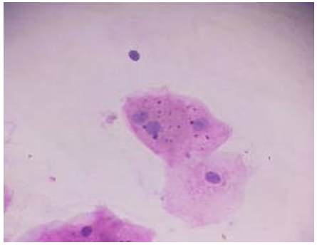
Figure 1: Showing Micronucleus Positivity in Buccal Epithelial cells Stained with Papanicolaou Stain

Figure 2: Showing Micronucleus Positivity in Buccal Epithelial cells Stained with Papanicolaou Stain
Discussion
Asthma is a chronic inflammatory airway disease commonly managed through inhaled bronchodilators, particularly salbutamol. Although effective for symptom relief, several studies have suggested that prolonged exposure to inhaled medications may induce cytological and genotoxic alterations in the oral mucosa, including micronucleus (MN) formation [12]. The present study evaluated MN frequency in buccal epithelial cells of Sudanese asthmatic patients using salbutamol inhalers and compared the findings with healthy controls. In this study, all asthmatic patients (100%) demonstrated positive MN findings, compared to 80% in the control group, with a statistically significant difference (p = 0.000). This aligns with the findings of Lintsov et al. who reported significantly elevated MN frequency in the buccal mucosa of asthmatic individuals compared with healthy subjects. Their work further emphasized that asthma phenotype and disease severity contribute to MN elevation, supporting the view that chronic airway inflammation and inhaled pharmacological exposure increase genomic instability.
The present study further revealed that MN frequency was highest in the age group of 20–40 years, showing a significant association (p = 0.026). This observation is consistent with the results of Saini et al. who identified a positive correlation between MN formation and age among asthmatic patients. Increased age may reflect cumulative exposure to oxidative stress and environmental triggers that contribute to DNA fragmentation and chromosomal instability [13]. Duration of salbutamol inhaler use also demonstrated a significant impact on MN formation (p = 0.000), with higher frequencies observed in individuals who had used salbutamol for more than 10 years.
These findings corroborate those of Benazir et al. who reported increased cytomorphometric alterations—including MN, karyorrhexis, and perinuclear halos—among asthmatic patients undergoing long-term inhalation therapy. This suggests that chronic exposure to inhaled β2-agonists may exert genotoxic effects on buccal epithelial cells, possibly due to repeated contact of aerosol particles with the oral mucosa. Conversely, no statistically significant association was observed between MN frequency and gender (p = 0.072), indicating that salbutamol exposure and asthma-related inflammation likely override sex-related biological variations. This is consistent with previous literature suggesting that MN formation is more closely related to disease phenotype, environmental triggers, and duration of exposure rather than gender. Overall, the findings of the present study provide strong evidence that long-term use of salbutamol inhalers is associated with increased MN frequency in buccal epithelial cells. Since MN formation is a well-established biomarker of genomic instability and early genotoxic damage these results raise important considerations regarding the cytogenetic effects of chronic inhaler use. More advanced methodologies, including Feulgen DNA-specific staining, are recommended to confirm these findings with higher specificity [14,15]. In summary, the present study provides compelling evidence that long-term use of salbutamol inhalers in Sudanese asthmatic patients is associated with increased micronucleus frequency in buccal epithelial cells, indicating higher genomic instability. Age and duration of inhaler use were identified as significant factors, while gender showed no notable effect. These findings highlight the potential cytogenetic effects of chronic inhaled β2-agonist therapy and the importance of monitoring oral mucosal health in asthmatic individuals. Future research using DNA-specific staining methods and larger, multicenter cohorts is recommended to confirm these results and better understand the mechanisms behind inhaler-related genotoxicity.
Limitations
This study is limited by a small, single-location sample, use of non-DNA-specific MN assessment (Papanicolaou stain), unmeasured confounders (environment, nutrition, oxidative stress), and a cross-sectional design that prevents causal inference.
Conclusion
Long-term salbutamol inhaler use is associated with a significant increase in micronucleus frequency among asthmatic patients. Buccal MN assays represent an effective, non-invasive tool for monitoring genotoxicity. Further studies using DNA-specific staining methods (e.g., Feulgen) and larger multi-center samples are recommended.
Recommendation
Based on the findings of this study, it is recommended that future research incorporate DNA-specific staining methods such as the Feulgen technique to improve the accuracy of micronucleus detection, and that larger multi-centered studies be conducted to validate these results across wider populations. Clinically, asthmatic patients using salbutamol inhalers should be advised to rinse their mouths after inhalation to minimize direct mucosal exposure, and healthcare providers should consider assessing genotoxic risk in long-term salbutamol users and exploring the potential benefits of alternative or combination inhalation therapies when appropriate.
Acknowledgements
None
Consent
The patient’s written consent has been collected.
Ethical Approval
The study was approved by the Department of Histopathology and Cytology in Medical Laboratory Sciences at Shendi University, and the study was matched to the ethical review committee board. Sample collection was done after signing a written agreement with the participants. Permission for this study was obtained from the local authorities in the area of study. The aims and the benefits of this study were explained with the assurance of confidentiality. All protocols in this study were done according to the Declaration of Helsinki (1964).
Sources of Funding
There was no specific grant for this research from any public funding organization in the public, private, or nonprofit sectors.
Conflict of Interest
The authors have declared that no competing interests exist.
References
- Kumar, V., Abbas, A. K., Fausto, N., & Aster, J. C. (2014). Robbins and Cotran pathologic basis of disease, professional edition e-book. Elsevier health sciences.
- Song, P., Adeloye, D., Salim, H., Dos Santos, J. P., Campbell, H., Sheikh, A., & Rudan, I. (2022). Global, regional, and national prevalence of asthma in 2019: a systematic analysis and modelling study. Journal of global health, 12, 04052.
- Wang, Z. D., Lian, D., Shen, J. L., Sun, R., Xu, W., Xin, Z.,... & Jin, S. D. (2013). Association between the interleukin-4, interleukin-13 polymorphisms and asthma: a meta-analysis. Molecular biology reports, 40(2), 1365-1376.
- Chiang, C. H., Lin, M. W., Chung, M. Y., & Yang, U.C. (2012). The association between the IL-4, ADRβ2 and ADAM 33 gene polymorphisms and asthma in the Taiwanese population. Journal of the Chinese Medical Association, 75(12), 635-643.
- Cockcroft, D. W. (2018, February). Environmental causes of asthma. In Seminars in respiratory and critical care medicine (Vol. 39, No. 01, pp. 012-018). Thieme Medical Publishers.
- Hamid, Q., & Tulic, M. (2009). Immunobiology of asthma. Annual review of physiology, 71(1), 489-507.
- Sabar, M. F., Ghani, M. U., Farooq, A., Ashiq, S., Akram, M., & Iqbal Awan, F. (2023). A Comprehensive Review on Asthma: Pathophysiology, Treatment and Role of Genetics. International Journal of Pharmacy & Integrated Health Sciences, 4, 94-100.
- Marques, L., & Vale, N. (2022). Salbutamol in the management of asthma: A review. International Journal of Molecular Sciences, 23(22), 14207.
- Ursini, C. L., Omodeo-Salè, E., Di Gennaro, G., Buresti, G., Fresegna, A. M., Ciervo, A., ... & Cavallo, D. (2025). Buccal micronucleus cytome assay to evaluate cyto-genotoxic effects of occupational exposure to antineoplastic drugs: application on a large sample size of workers furnished by an Italian network of oncological hospitals. Archives of Toxicology, 1-13.
- Bolognesi, C., Bonassi, S., Knasmueller, S., Fenech, M., Bruzzone, M., Lando, C., & Ceppi, M. (2015). Clinical application of micronucleus test in exfoliated buccal cells: A systematic review and metanalysis. Mutation research/ reviews in mutation research, 766, 20-31.
- Lintsov, A. E., Shevelev, S. E., Slizhov, P. A., & Mikhelson, V.M. (2022). Cytogenetic Alterations In Cells from Allergic and Non-Allergic Asthmatic Patients.
- Benazir, M. I., Prasad, H., Rajmohan, M., Srichinthu, K. K., Prema, P., Mahalakshmi, L., & Kumar, G. S. (2020). Effect of Inhalational Therapy on Buccal Mucosal Cells in Asthmatic Patients: A Cytological Study. Rambam Maimonides Medical Journal, 11(4), e0031.
- Kashyap, B., & Reddy, P. S. (2012). Micronuclei assay of exfoliated oral buccal cells: means to assess the nuclear abnormalities in different diseases. Journal of cancer research and therapeutics, 8(2), 184-191.
- Vemireddy, P. R. (2019). Comparative Study Of Eficacy Of Papanicolaou And Aceto-Orcein Stains In Demonstrating Barr Bodies In Buccal Mucosal Smears (Doctoral dissertation, BLDE (Deemed to be University)).
- Nersesyan, A., Kundi, M., Atefie, K., Schulte-Hermann, R., & Knasmuller, S. (2006). Effect of staining procedures on the results of micronucleus assays with exfoliated oral mucosa cells. Cancer Epidemiology Biomarkers & Prevention, 15(10), 1835-1840.
