Research Article - (2025) Volume 4, Issue 1
Sonographic Evaluation of Renal Transplantation in Adult Sudanese Patients: A Cross-Sectional Study
2Department of Medical Microbiology, Faculty of Medical Laboratory Sciences, Shendi University Shendi, Sudan
Received Date: Apr 03, 2025 / Accepted Date: May 26, 2025 / Published Date: May 30, 2025
Copyright: ©©2025 Ghanem Mohammed Mahjaf, et al. This is an open-access article distributed under the terms of the Creative Commons Attribution License, which permits unrestricted use, distribution, and reproduction in any medium, provided the original author and source are credited.
Citation: Salih, B. A. H., Barakat, A. M., Mahjaf, G. M. (2025). Sonographic Evaluation of Renal Transplantation in Adult Sudanese Patients: A Cross-Sectional Study. World J Radiolo Img, 4(1), 01-05.
Abstract
Renal transplantation is the treatment of choice for managing patients with end-stage kidney disease. Being submitted to a severe surgical procedure, renal transplant recipients can only benefit from follow-up imaging and monitoring strategies. This descriptive cross-sectional study aimed to evaluate the transplanted kidney using ultrasonography, a non-invasive and cost-effective imaging modality that plays a significant role in post-transplant evaluation. The problem of the study was that transplanted Renal is under many risks and complications which may increase morbidity and mortality. Close monitoring and evaluation are needed, and sonography, which can detect changes in kidney size, shape, and structure, is crucial in this process. This study included 60 adult patients of transplanted Renal males and females with different durations of transplantation, between (18 – 60) years, who came to Ahmed Gasim Hospital from September 2022 to January 2023. Statistical Package for Social Science (SPSS) collected and analyzed the data. This study showed that kidney transplantation is more in males (70%) than females (30%), the highest frequency of transplantation duration is 1-5 years (50%), the percentage of increased transplanted Renal volume is (15%), no decreased volume detected and no renal artery complication detected, perinephric fluid collection is (10%), reduced corticomedullary differentiation is (3%), and renal calculi is (1.67%) The study showed relation between duration of transplantation and increase kidney volume. The study recommended that routine ultrasound follow-up be considered. Further studies should be conducted to investigate the factors contributing to increased kidney volume and develop more effective monitoring strategies.
Keywords
Renal Transplantation, Sonography, Evaluation, Renal, Adult Sudanese
Introduction
Renal transplantation has been considered a treatment of choice for end-stage kidney disease (ESKD) since the 1960s. It is cost-effective and provides better long-term survival and life quality compared to hemodialysis and/or peritoneal dialysis [1]. With improved transplantation technology, new generations of immunosuppressive agents, and developments in graft preservation techniques, the 1-year survival rates for grafts are reported to be 80% for mismatched cadaveric renal grafts, 90% for nonidentical living-related grafts, 95% for human lymphocyte antigen-identical grafts. The half-life of grafts from living-related donors varies between 13 and 24 years, depending on the match [2]. Renal transplants have been growing in recent years, and they are considered an effective therapy for end-stage renal disease (ESRD). Kidney transplantation was associated with various complications, such as vascular disorders and immunologic adverse effects [3]. These complications remain a challenge in kidney transplantation. In recent years, developments in transplantation technology have increased the half-life time of allografts [4]. In Sudan, kidney transplantation accounted for 28 percent of renal replacement therapies [5]. However, there are few studies on renal transplantation in Sudan. The transplanted kidney is susceptible to various morphologic and physiological problems, including poor or clouded corticomedullary differentiation (CMD), a deficiency of the corticomedullary ratio, and decreased or increased echogenicity, which are all parenchymal alterations associated with allografts [6]. These findings were linked to graft malfunction and reflected a variety of illnesses, including acute tubular necrosis; hyperacute, acute, and chronic rejection; infection; and medication nephrotoxicity. Hyperacute rejection, on the other hand, is incurable [7]. The mechanism of chronic kidney rejection is unknown; however, it emerges 5 years after transplantation [8]. The transplanted kidney is under many risks and complications, which may increase morbidity and mortality. Close monitoring and evaluation are needed, and sonography plays a significant role.
Methodology
Descriptive cross-sectional study. The study was conducted on adult transplanted kidney patients attending the ultrasound department of Ahmed Gasim Specialized Hospital of Cardiac Surgery and Renal Transplantation from September 2022 to January 2023. The ultrasound, a precise and reliable tool, was used for adult male and female transplanted kidney patients of different durations of transplantations. This study included adult transplanted kidney male and female patients of various ages and durations of transplantations. Excluded patients with known transplanted kidney rejection, incomplete ultrasound data, and refused patients. The sample of this study was 60 adult transplanted kidney male and female patients of different ages and durations of transplantation. The sonographic examination was performed using a real-time scanner ultrasound using a high-solution and curvilinear probe with color Doppler.
Results
|
Gender |
No |
Percentage |
|
Male |
42 |
70 % |
|
Female |
18 |
30 % |
|
Total |
60.0 |
100.0% |
Table 1: The Gender Distribution of Transplanted Kidney Patients
|
Duration of kidney transplantation |
No |
Percentage |
|
Less than one month |
3 |
5 % |
|
1 month to 1 year |
12 |
20 % |
|
1 year – 5 years |
30 |
50 % |
|
5 years – 10 years |
9 |
15 % |
|
More than 10 years |
6 |
10 % |
|
Total |
60.0 |
100.0% |
Table 2: The Shows the Duration of Kidney Transplantation
|
Transplanted kidney volume |
No |
Percentage |
|
Normal |
51 |
85 % |
|
Increased |
9 |
15 % |
|
Decreased |
0 |
0 % |
|
Total |
60.0 |
100.0% |
Table 3: The Shows Transplanted Kidney Volumes
|
Transplanted kidney volume |
No |
Percentage |
|
Perinephric fluid collection |
6 |
10 % |
|
Renal calculi |
1 |
1.67 % |
|
Reduced corticomedullary differentiation |
3 |
5 % |
|
Total |
60.0 |
100.0% |
Table 4: Shows Transplanted Kidney Complications
|
Age in years |
||
|
Maximum |
Minimum |
Mean ± std |
|
60 |
18 |
40.85 ± 12.6 |
Table 5. The Mean, Minimum, and Maximum Age of Transplanted Kidney Patients

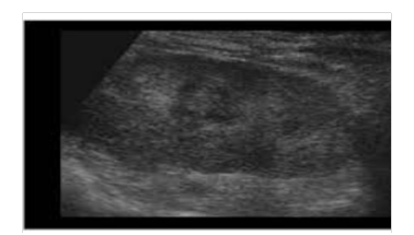
Figure 1: Normal Transplanted Kidney Of 6 Years’ Transplantation Duration in A 52-Year-Old Female

Figure 2: Increased Transplanted Kidney Volume of 7 Years’ Transplantation Duration in A 37-Year-Old Male

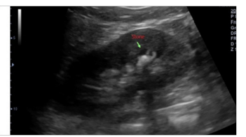
Figure 3: Transplanted Kidney Stone Of 4 Years’ Transplantation Duration in A 50-Year-Old Female

Figure 4: Reduced Corticomedullary Differentiation in a 13-Year Transplantation Duration of a 40-Year-Old Male

Figure 5: Perinephric Transplant Fluid Collection in a 30-Year-Old Male of 4 years of Transplantation Duration
Discussion
Ultrasonographic morphologic parameters are commonly utilized to evaluate the current graft function and the characteristics that predict rejection and pathological processes. These metrics have been used to correlate with pathological alterations involving the transplant and rejection. This cross-sectional descriptive study aimed to evaluate the transplanted kidney using ultrasonography in Ahmed Gasim Specialized Hospital of Cardiac Surgery and Renal Transplantation, Khartoum state, from September 2022 to January 2023. The demographic results of this study revealed that renal transplantation is more common in males than females (70% vs. 30%). This is primarily due to the high prevalence of chronic renal disease among hemodialysis patients, a key factor influencing the gender distribution in renal transplantation. Nonetheless, this result is in line with another study that found that men made up 68.5% of hemodialyzed patients in need of renal transplantation (RT) ; another study revealed that renal transplantation is more common in males than females (77.4% vs. 22.6%) [9,10]. This consistency across studies, including ours, provides a robust and reliable understanding of the gender distribution in renal transplantation, instilling confidence in the robustness and reliability of our findings. The patients, most commonly aged between 18 and 60, with a mean age of 40.85, were found to be significantly affected by ESKD. These findings align with previous studies, such as the one on the incidence of ESKD with RT in Sudanese populations and the work of Moawia Gameraddin in 2017 [10,11]. The study found that the highest frequency of transplantation duration was (1-5) years in 30 patients (50%); this is not compared with any previous studies because they didn’t mention it. In the current study, a sonographic assessment of the renal cortex of the transplanted kidneys showed reduced corticomedullary differentiation found in 3 patients (5%), which agrees with Abd Elmotaal 2019 [12]. The study found the renal artery was normal in all patients (100%), which disagrees with Irshad A. in 2008, who found that the most common type of complication of renal transplant was renal artery stenosis (14%) [13]. Renal calculi were found in 1 patient (1.67%), and this disagrees with Wanasi Myson 2007, who reported calculi as (0%) and Abeer El-Motaal in 2019 [12], who reported calculi in (10%) [14]. The study concluded that the incidence of transplantation was higher in males. The highest frequency of transplantation duration was found (1-5) years; the volume of transplanted kidneys was found to increase by 15% about long transplantation duration. The most common type of complication of renal transplantation was perinephric fluid collection.
Conclusion
Renal transplantation, a procedure that is increasingly common among young Sudanese adults, affects a diverse group of individuals, including homemakers, professionals, and unemployed persons. The most common and impactful reasons for kidney transplants are diabetes and hypertension. Sonography has revealed structural changes in transplanted kidneys, particularly in larger allografts where the renal artery RI has noticeably increased.
Ethical Consideration
Ethical approval was obtained from the Institutional Research Ethics Committee of National Ribat University, the Faculty of Radiology and Nuclear Medicine Science, the Khartoum State Ministry of Health, the Research Department, and the Hospital. Oral permission was obtained from the administrative authority of Ahmed Gasim Hospital. The research purpose and objectives were explained to participants in clear, simple words. Participants had the right to withdraw at any time without any deprivation. Participants had the right to no harm (privacy and confidentiality by using coded sonographic data collection sheet filling at the sonographic unit with no interruption to the unit). Participants have the right to benefit from the research knowledge and skills. All infection control measures were taken during contact with the patients, and COVID-19 precautions were taken (wearing masks and optimal distance), demonstrating our commitment to the well- being of our participants.
References
- Vollmer, W. M., Wahl, P. W., & Blagg, C. R. (1983). Survival with dialysis and transplantation in patients with end-stage renal disease. New England Journal of Medicine, 308(26), 1553-1558.
- Cecka, J. M., & Terasaki, P. I. (1990). The UNOS Scientific Renal Transplant Registry--1990. Clinical transplants, 1-10.
- Sharfuddin, A. (2014). Renal relevant radiology: imaging in kidney transplantation. Clinical journal of the American Society of Nephrology, 9(2), 416-429.
- Abdelwahab, H. H., Shigidi, M. M., Ibrahim, L. S., & El- Tohami, A. K. (2013). Barriers to kidney transplantationamong adult Sudanese patients on maintenance hemodialysis in dialysis units in Khartoum State. Saudi Journal of Kidney Diseases and Transplantation, 24(5), 1044-1049.
- Brown, E. D., Chen, M. Y., Wolfman, N. T., Ott, D. J., & Watson Jr, N. E. (2000). Complications of renal transplantation: evaluation with US and radionuclide imaging. Radiographics, 20(3), 607-622.
- Faubel, S., Patel, N. U., Lockhart, M. E., & Cadnapaphornchai,M. A. (2014). Renal relevant radiology: use of ultrasonography in patients with AKI. Clinical Journal of the American Society of Nephrology, 9(2), 382-394.
- Thalhammer, C., Aschwanden, M., Mayr, M., Koller, M., Steiger, J., & Jaeger, K. A. (2006). Duplex sonography after living donor kidney transplantation: new insights in the early postoperative phase. Ultraschall in der Medizin-European Journal of Ultrasound, 28(02), 141-145.
- Leong, K. G., Coombs, P., & Kanellis, J. (2015). Renal transplant ultrasound: The nephrologist's perspective. Australasian Journal of Ultrasound in Medicine, 18(4), 134- 142.
- El Aghouri, H. (2005). Ultrasonographic Finding in Transplanted Kidneys (Doctoral dissertation, UOFK).
- Gameraddin, M. (2018). Ultrasound evaluation of morphologic changes of transplanted kidneys in Sudanese patients. Age (years), 20(73), 42-43.
- Lee, V. S., Kaur, M., Bokacheva, L., Chen, Q., Rusinek, H., Thakur, R., ... & Kramer, E. L. (2007). What causes diminished corticomedullary differentiation in renal insufficiency?. Journal of Magnetic Resonance Imaging: An Oficial Journal of the International Society for Magnetic Resonance in Medicine, 25(4), 790-795.
- El-Motaal, A. M. A., Dawoud, R. M., Sherif, M. F., & Eldiasty,T. A. (2019). Role of ultrasound, Color duplex Doppler and sono-elastography in the evaluation of renal allograft complications. Egyptian Journal of Radiology and Nuclear Medicine, 50, 1-8.
- Irshad, A., Ackerman, S., Sosnouski, D., Anis, M., Chavin, K., & Baliga, P. (2008). A review of sonographic evaluation of renal transplant complications. Current problems in diagnostic radiology, 37(2), 67-79.
- Wanasi Myson. The Role of Sonography in Detection and Evaluation of Transplanted Kidney Complications. Available from www.repository.sustech.edu accessed on December 14, 2022.

