Case Report - (2020) Volume 2, Issue 4
The Safe Use of Rituximab In The Management of ANCA-Associated Vasculitis In A Patient With Suspicious Renal Cyst-A Case Report
2Consultant Nephrologist and Senior Clinical Lecturer (Hon), Sussex Kidney Unit, Brighton and Sussex University Hospitals NHS trust, Brighton, United Kingdom
Received Date: Sep 22, 2020 / Accepted Date: Sep 28, 2020 / Published Date: Oct 09, 2020
Copyright: ©Ã?©2020 Farid Ghalli, et al. This is an open-access article distributed under the terms of the Creative Commons Attribution License, which permits unrestricted use, distribution, and reproduction in any medium, provided the original author and source are credited.
Abstract
ANCA- Associated Vasculitis (AAV) is a multi-system immune small vessel vasculitis. The use of traditional immunosuppressive agents in the management of ANCA vasculitis is known to increase baseline susceptibility to malignancy [1]. Renal cyst is a commonly encountered incidental finding in clinical practice. Although most cysts found are benign, the identification of complex cysts warrants further diagnostic investigation to exclude a neoplastic process. To shed light on this complex area, the Bosniak system has provided a framework for the classification of cystic renal lesions. The system defines five categories of renal lesions based on radiological features seen on CT or MRI, to stratify the lesions associated risk of malignancy [2].
Introduction
ANCA- Associated Vasculitis (AAV) is a multi-system immune small vessel vasculitis. The use of traditional immunosuppressive agents in the management of ANCA vasculitis is known to increase baseline susceptibility to malignancy [1]. Renal cyst is a commonly encountered incidental finding in clinical practice. Although most cysts found are benign, the identification of complex cysts warrants further diagnostic investigation to exclude a neoplastic process. To shed light on this complex area, the Bosniak system has provided a framework for the classification of cystic renal lesions. The system defines five categories of renal lesions based on radiological features seen on CT or MRI, to stratify the lesions associated risk of malignancy [2].
We describe a case of ANCA associated vasculitis (AAV) in a patient with the dilemma of a superimposed malignancy risk due an incidental finding of complex renal cysts. We describe an eighteen months of follow up of this case managed using Rituximab guided by malignancy risk stratification.
Case Presentation
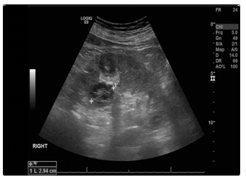
A previously healthy 47-year-old male was referred urgently to the renal department with a recent decline in kidney function, which was previously normal. Initial laboratory results revelated a creatinine of 183 umol/l, haemoglobin of 97 g/l and an MPO ANCA titre of > 221.9 iu/ml. When seen in the clinic he described reduced appetite, with 2 stone of weight loss over 1 month. His physical exam was unremarkable. Given his reduced renal function, he had an urgent renal biopsy which showed focal segmental necrotising glomerulonephritis with a single cellular crescent in keeping with ANCA associated vasculitis. However, two complex renal cysts were seen on ultrasound in his right kidney (Fig 1)and until malignancy was ruled out it was decided to treat with steroid monotherapy (prednisolone), not with cyclophosphamide. Initial response to this appeared to be effective, reducing creatinine from 214 to 126 umol/l.

Fig (1): Ultrasound with contrast right kidney showing 2 complex cysts located in the anterior cortex. There is a 3.5 cm cystic lesion with focal echogenic area measuring 1.8 cm. There is a second complex cyst measuring 3.5 cm close to the posterior mid renal cortical lip. This second cyst has a slightly irregular border and central echogenic complex septi.
Magnetic Resonance Imaging (MRI) was carried out to investigate the aetiology of the observed cysts (Fig 2). Cyst images reviewed by the urology and radiology MDT and the conclusion was that the cysts were of a Bosniak IIF grade with no current evidence of malignancy. The MDT recommended follow up of the renal cysts after 6 months and every year thereafter. Given the risk of malignancy-risk associated with Bosniak IIF grading, rituximab was commenced over cyclophosphamide.

Fig (2): MRI both kidneys T1 signal (Top) and T2 signal (Bottom). The more anterior cyst contains an area of T1 high signal posteriorly which does not enhance appreciably and would be consistent with proteinaceous/haemorrhagic debris. The more posterior lesion demonstrates multiple septations.
The patient has completed one and a half years (18 months) on vasculitis treatment with steroid and rituximab. His creatinine normalized to 90 umol/l, MPO became negative (Fig 3 & 4) and the last CT follow up did not show any change in the renal cyst. He is due for his next follow up CT one year.

Fig (3): Kidney function response to Steroid and Rituximab treatment between January 2019 and June 2020

Fig (4): Myeloperoxidase (MPO)Titer in response to vasculitis treatment between January 2019 and June 2020
Discussion
This case report describes the treatment of AAV in a patient with an underlying superimposed malignancy risk, 2 complex renal cysts. A classification of Bosniak IIF cyst carries a ~5% (0-25%) per year risk of malignant transformation and therefore warrants additional follow-up and treatment considerations [3].
In a search beyond traditional treatment protocols, two randomised control trials in the last 10 years have demonstrated clinical efficacy of rituximab vs cyclophosphamide in AAV (RAVE4and RITUXVAS) [4, 5]. These RTCs have encouraged clinicians to use rituximab in both inducing remission and maintenance therapy of AAV. Following these promising studies, NICE guideline [TA308] published in 2014, included specific recommendations for the use of rituximab over cyclophosphamide in AAV [6]. The guideline focused on using rituximab after relapse following cyclophosphamide treatment, exceeding the maximum cyclophosphamide dose, or a history of uroepithelial malignancy.
As well as demonstrating clinical efficacy, the NICE guideline reflects the favourable side effect profile associated with rituximab. Van Daalen et al., followed 323 patients over 5.3 years to assess the malignancy risk of cyclophosphamide vs rituximab [1]. The study demonstrated that the incidence of malignancy was 4.61 fold higher (95% CI 1.16 to 39.98) in cyclophosphamide-treated patients than in rituximab-treated patients. Notably, the use of maintenance rituximab treatment has not been associated with an increased malignancy risk compared with the general population (0.67; 95% CI 0.08 to 2.43).
In the presence of an incidental renal cyst, the Bosniak system provides a validated method of quantifying the risk of malignant transformation. NICE guideline does not address the use of rituximab with co-morbidities that increase underlying risk of malignancy, but for ethical reasons, this area should remain an active consideration for clinicians. Despite this the Bosniak system has limitations, the interpretation of grading remains subject to intra-observer agreement, especially IIF to III lesions, which may carry variable rates of malignant transformation (5% vs 50%,respectively) [7]. Despite these issues, due to the associated baseline malignancy risk associated with IIF renal cyst the choice of immunosuppressive agent in AAV should be evaluated by the treating clinicians.
Conclusion
Rituximab, in this case, was an efficacious and safe immunosuppressive choice in managing this vasculitis patient with an underlying risk of progression to malignancy. It could be a good alternative to cyclophosphamide in cases with a high risk of malignancy. Using risk stratification tools like the Bosniak classification system in this case can guide case-specific treatment decisions for immunosuppressive therapy in AAV.
References
- Van Daalen EE, Rizzo R, Kronbichler A, Wolterbeek R, Bruijn JA, et al. (2017) Effect of rituximab on malignancy risk in patients with ANCA-associated vasculitis. Ann Rheum Dis 6: 1064-1069.
- Muglia VF, Westphalen AC (2014) Bosniak classification for complex renal cysts: history and critical analysis. Radiol Bras 47: 368-373.
- Tames AVC, Fonseca EKUN, Yamauchi FI, Arrais GMSM, de Andrade TCM, et al., (2019) Progression rate in Bosniak category IIF complex renal cysts. Radiol Bras 52: 155-160.
- Stone JD, Merkel PA, Spiera R, Seo P, Langford C et al. (2010) Rituximab versus Cyclophosphamide for ANCA-Associated Vasculitis. N Engl J Med 363: 221-232.
- Jones RB, Furuta S, Cohen Tervaert JW, Hauser T, Luqmani R et al. (2010) Rituximab versus cyclophosphamide in ANCA-associated renal vasculitis. N Engl J Med 363: 211-220.
- National institute for health and care excellence NICE (2014) Rituximab in combination with glucocorticoids for treating antineutrophil cytoplasmic antibody associated vasculitis. http://nice.org.uk/guidance/ta308
- Tae Hoon Oh, Ill Young Seo (2016) The role of Bosniak classification in malignant tumor diagnosis: A single institution experience. Investig Clin Urol 57: 100-105.
