Review Article - (2021) Volume 2, Issue 4
Radiology Role in Archaeology: Moses Pharaoh as a Case
Received Date: Nov 18, 2021 / Accepted Date: Nov 24, 2021 / Published Date: Nov 27, 2021
Copyright: ©Copyright: 2021 Abdulwahab Alahmari. This is an open-access article distributed under the terms of the Creative Commons Attribution License, which permits unrestricted use, distribution, and reproduction in any medium, provided the original author and source are credited.
Citation: Abdulwahab Alahmari (2021) Radiology Role in Archaeology: Moses’ Pharaoh as a Case. In j Fore Res, 2(4), 80-88.
Abstract
Radiology can help in rewriting human history and verifying historical narratives. By using medical imaging scans like CT, the mummies of pharaohs can be scanned to find the cause of death using the Virtual Autopsy technique. The issue is that some of history is connected with the world’s religions. For example, the pharaoh who chased Moses and the Hebrews out of Egypt is mentioned in different narratives in the Quran and the bible. Which book has the true story indicates that it is the book of the true religion. Therefore, Radiology could find which religion is true and present a piece of physical evidence of which religion is true.
Keywords
Archaeology; Paleontology; Virtual Autopsy; Egyptology; Pharaohs; Moses; Computed Tomography.
Introduction
The Israelites were taken into slavery before the birth of Moses based on the Quran and the bible which was in the New Kingdom period. In that era, there were 33 pharaohs who ruled the new kingdom. Both scriptures mentioned the exodus of Israelites out of Egypt. As well, Merneptah Stele indicates that they left (the Isrealites) to the Canaan area which means it happened before Merneptah in 1208 BCE which shorten the list to 18 Pharaohs. That means Merneptah was alive and ruling the kingdom and did not drown, but someone before him was in charge of the exodus. All scriptures mentioned the title pharaoh without mentioning his name. The pharaoh who chased Moses and drowned in the sea. This Pharaoh killed, tortured, and enslaved the Israelites when they escaped the famine to Egypt.
The aim of this paper is to add another approach by using radiology
to help to solve this mystery. Whether the radiological documentation would add any information regarding this issue, or not. It will be presented in a comprehensive way to cover all aspects and reach a definite conclusion.
Textual Criticism and Comparative Scriptures
The bible mentions the story as “When Pharaoh heard of this, he tried to kill Moses, but Moses fled from Pharaoh and went to live in Midian…during that long period… the king of Egypt died” [Exodus 2:15, 23]. Based on the biblical narrative Moses lived 80 years until the burning bush. From Moses’ birth until the exodus a span of 80 years at least where two pharaohs ruled the kingdom. This is problematic because it does not fit with the timeline of the pharaohs and 80 years it will need 3 pharaohs at least not two based on how long each pharaoh ruled? The Psalm mentioned that everyone died “And the waters covered their enemies: there was not one of them left. The Lord does nothing by halves. What he begins he carries through to the end…they are sunk as in the sea, never to rise again; and, blessed be the Lord, there is “not one of them left…I will cast their iniquities into the depths of the sea.” [Psalm 106:10-12]. These verses show that none of them were left alive. Other verses or songs like “To Him who divided the Red Sea in two, For His mercy endures forever; And made Israel pass through the midst of it, For His mercy endures forever; But overthrew Pharaoh and his army in the Red Sea, For His mercy endures forever.” [Psalm 136:13-15]. This shows the bible contradicts the historic evidence.
The Quran mentioned it’s a one Pharaoh in Moses life since birth to exodus “When Moses reached the age of full youth and grew to maturity” (28:14) and Moses was 40 years old which maturity age in the Quran “…In time, when the child reaches their prime at the age of forty, they pray…” (46:15) which fit with the historic evidence. Then Moses served his father in law for 8 to 10 years “He (the father) said (to MÃÂ?«sÃÂ?ÂÂ), I wish to marry to you one of these two daughters of mine on condition that you act as my employee for eight years. Then if you complete ten (years) it will be of your own accord...” (28: 27). The only ruler who fits with this description is Ramses II. “So today We will (safely) deliver you with your body that you may be a sign to the ones succeeding you; and surely many among mankind are indeed heedless of Our signs.” (10: 92).

Diagram 1: This diagram shows the time line of the pharaonic Kingdom starting from the left to the right.

Diagram 2: This shows the Pharaonic Kings starting from down (Ahmosis I) and ending up with (Ramses XI).
Pharaoh Vs. King
On another issue related to the historicity of the bible and the Quran about pharaonic narrative, it names all the Egyptian rulers as pharaohs in Joseph’s time and in Moses’ time. The Quran on the other hand, mentioned a King in Joseph’s time and a Pharaoh in Moses’ time which was criticized by Christians because it contradicts what is mentioned in the bible until the Rosetta Stone or “Rasheed Stone” was discovered in 1799 by a French Engineer called Pierre-François Bouchard. The Stone was translated from Hieroglyphic to Old Greek to Latin where it supports the Quranic narrative that in Joseph’s time the ruler was called a King, not a Pharaoh.
According to the Encyclopedia Britannica (1998), “pharaoh, (from Egyptian per ÃÂ?¿aa, “great house”), originally, the royal palace in ancient Egypt. The word came to be used metonymically for the Egyptian king under the New Kingdom” [1]. So, Pharaohs are only in the new kingdom, and before that, they used to call any ruler a King, not a Pharaoh see (Table 1).
Table. 1: The Quranic and biblical naming of rulers of Egypt in different kingdoms which show the biblical naming is wrong in the middle and second intermediate kingdoms
|
|
Used title in the Quran |
Used title in the Bible |
|
Middle Kingdom |
King |
Pharaoh |
|
Second Intermediate Kingdom |
King |
Pharaoh |
|
New Kingdom |
Pharaoh |
Pharaoh |
Haman of Egypt Vs. Haman of Babylonia
The bible mentioned Haman in the book of Esther of the Hebrew bible as an Architect building a tower in Babylonia (which is known today as Iraq and Persia) under the ruling of Xerxes 1000 after Pharaoh time according to the bible. The Haman in the Quran mentioned this Haman as a Minster of Architecture and building a tower for Pharaoh in Egypt, not in Babylonia.
Christians like Ludovico Maracci in1600 claimed that the Prophet Mohammed plagiarized from a Priest and made a mistake because he mixed the story of Babylon tower with Egypt and he confused Xerxes with Pharaoh. In 1800, the Christians came to the conclusion that their book has no historic value and most of the book is fabrications as well as the Jewish Encyclopedia today. Still, until this day the Christian website named “Answering Islam” use this argument [1, 2]. As well, this Christian website claims that Haman’s name was never found in Egyptian records! The website denied the story and provided no evidence from the beginning to the end. These claims have been refuted by a Muslim website called “Answering Christianity” [3]. They claim that Harun Yahya and Maurice Bucaille are making claims by themselves about Haman. It is not their claims, but it’s Walter Wreszinski’s statement “The name Haman was in fact mentioned in old Egyptian tablets. It was mentioned on a monument which now stands in the Hof Museum in Vienna, and in which the closeness of Haman to the Pharaoh was emphasized.” (Walter Wreszinski, Ägyptische Inschriften aus dem K.K. Hof Museum in Wien, 1906, J. C. Hinrichs’ sche Buchhandlung) [4]. In addition, their Arabic language argument (the Christian website “Answering Islam”) is so weak and easy to be refuted by anyone who is a native speaker of Arabic. The Arabized name is Haman of the name in the original language can sound a little bit different as the name Jesus like any other name, but they still the same persons and every name must be studied case by case because of the differences if there is no general linguistic rule to follow. Any information made by the Encyclopaedia of the QurÃÂ?¾ÃÂ?ÂÂn which is published by Brill Publisher and managed by Jane Dammen McAuliffe (a Christian woman who change Islamic teaching according to her own desires) is not accepted by any Islamic Scholar whatsoever. She mentioned that Haman is the King Amun which the Quran indicates it’s the pharaoh’s Minister, so she can say whatever she wants, but it is not accepted by anyone [5]. The Islamic awareness website said to McAuliffe absurdity when she tried to connect the Quran, the bible, and archaeology together “Unfortunately, no evidence is offered for this suggestion and one is instead directed to the bibliography in a search for answers. Let us first examine the authenticity and historical reliability of the biblical Book of Esther from where Muhammad supposedly appropriated the character of Haman” [6].
The hieroglyphic language was deciphered in 1799 by Jean Françoise Champollion by decoding the hieroglyphs dialect into Greek. Then Maurice Bucaille came and he looked into hieroglyphic language. This language used to be ancient Egyptian language and this language has died for 2000 years before prophet Mohamed. Nobody knows this language until the French and the German studied the Rosetta stone “Rasheed Stone” and found the meaning of the old Egyptian language in the late 1800. Maurice searched if there were any Haman name that was found by translator’s records while they collected records of all famous pharaonic personals who was working with Pharaoh as his Minster of buildings? Maurice in late 1900 found Haman as the Minister of stone quarries (i.e. constructions) under Pharaoh. There is another one who built the great pyramid of Giza. His famous Statue-of- Hemiun is still in exhibitions today see (Fig. 1). Is this Haman being the same Haman in the Quran? No, this Haman lived in 2570 BC before Ramses II in the old Kingdom with Khafre. Maurice found the named “hmn~h” in the new kingdom − the 19th dynasty specifically− in the era of Ramses II which could be Haman and he used to work as the chief of the stone quarries [7].

Figure 1: The Statue-of-Hemiun, not the Haman in the Quran. Photo source: the right from Wikimedia and the left from Wikipedia entitled Statue-of-Hemiun.
Pharaoh’s wife Asia
According to the Quran, this Pharaoh was married to a believer woman called Asia bint Muzahim. Asia or Asiya in Arabic is the name that means the Asian continent. Ramses II was married to the Hittites prince’s daughter where they ruled in Syria. Syria is part of the Asian continent. Some connect this woman to the older King of Egypt in Joseph’s time and some say she is an Israelite that’s why she adopted Moses and protected him from death on Pharaoh’s hands. If she is a Hittite, why the Hittites did not revenge for her death on the Pharaoh’s hand (i.e. her husband Ramses II)? The Hittites suffered a severe famine which Merneptah’s record shows that he sent grain to Hittites to stop their famine and hold the peace treaty with them.
Maurice Bucaille
Maurice Bucaille is a French Doctor who graduated from ‘l’Ecole de Medicine’ at the University of Paris and then specialized in gastroenterology [8]. He has a passion for Egyptology and religions.
Sea-salt was found by Maurice Bucaille not a table-salt or a Natron. The sea-salt has minerals and it looks darker compared to the processed table-salt. Maurice as well-found Haman’s name, the Pharaonic minister, mentioned in hieroglyphs as one of the famous persons in ancient Egypt.
Maurice said “both mummies were studied and underwent the same testing both Ramses II and Mernpetah (page 304 in “la bible le Quran la science”). Maurice’s book is so important that the CIA, retranslate it from French to English and published it on the agency’s library website under URL destination entitled “Abbottabad-compound” which is a strange thing [9]. Whether the translation on that version was changed or manipulated, it needs more verification. Maurice concluded that Mernpetah is the pharaoh (page 294 in “la bible le Quran la science”).
Pharaohs Dilemma
The old Egyptians used to perform a trans−nasal craniotomy where they remove the brain from the skull via the nasal cavity. Plus, they take out the lungs and they put them in canopic jars, and leave the heart in old Egyptian rituals of preparing the mummy for their tomb and life after. So, no one can see what happened to the brain or the lungs. By using CT scan Virtual Autopsy (VA), it can help in identifying which one died of drowning.
According to Zahi Hawass, is an Egyptian Egyptologist, Archaeologist, and former Minister of Ministry for Antiquities Affairs made a documentary TV series called “Kashif Al-Asrar” or “secret revealer” which produced by Alghad TV which is bias channel, to begin with. The show in the 14th episode of “Kashif Al-Asrar” which was focused on (Who is Moses’ Pharaoh?), Zahi concluded after 52 min long episode that no one knows who is Moses’ Pharaoh [10]. He mentioned that the Pharaoh could be drowned in the Nile−River instead of the Red Sea. No solid evidence was provided by Zahi in the show to support the Nile− River claim. Zahi said that all old Egyptian documentation and records show there is no mention of a prophet named Moses or a Pharaoh who drowned while he was chasing the prophet and the Israelites. Many Egyptian Scholars, Egyptologists, Archaeologists claim that Zahi is a bias, involved in selling many Pharaonic artifact pieces, corruption, he has close connections and funding by the American Geographical Society, and he has close connections and funding by some Judeo-Christian religious communities’ leaders who claim the ancient Egyptian civilization was built by the Jews [11, 12]. These claims against him are published in formal Egyptian newspapers and they claim his work is so bias and not worthy of reading or publishing due to his funding sources and the huge conflict of interests that he is involved in [11, 12]. No defamation charges were pressed by him against these newspapers or those who made these claims. All of this makes everyone confused to reach the answer for the question which Pharaoh is the one who drowned? If the lung is still in the pharaoh’s chest, it could be easier to know which one has drowning signs on a CT scan see (Figure 2).
Figure 2: A CT scan using both the lung window and mediastinum window which show a mosaic formation created by patchy consolidation, esophagus, trachea, main bronchi are filled with freshwater. The ground glass opacity is caused by consecutive bronchospasm and different perfusion level due to aspiration. The stomach is filled with water too and the layered content of the stomach could consider a Wydler’s sign. The CT scan source: Radiopaedia Australia Pty Ltd.
Sahar N. Saleem is an Egyptian Neuroradiologist and the Professor of Radiology at Cario University and specialized in archeao-paleo- radiology and the co-author of “Scanning the Pharaohs: CT Imaging of the New Kingdom Royal Mummies” with Zahi Hawass. Sahar said “The ancient Egyptian history could not be correlated with the messengers of God stories in Quran or Bible. Scientifically it is not possible to indicate drowning as a cause of death in mummies. Presence of salt on the mummies is the normal as using Natron salt was an essential step in mummification. The age of Ramesses II at death historically and also by CT is estimated to be about 90 years. He had severe kyphosis and Diffuse idiopathic skeletal hyperostosis (DISH) in the spine −it is a type of arthritis− as evident in CT. So, no way Ramesses II could ride a chariot or even travel for that long distance. Merenptah (Ramesses II’s son and his successor) was proposed as a candidate of exodus Pharaoh, but the only evidence was salt on his skin. This is a comment I wrote in reply to a Facebook post with a false data about Bucaille and his relation with the mummy of Ramesses II” (S. Saleem, Personal communication, September 5, 2019).
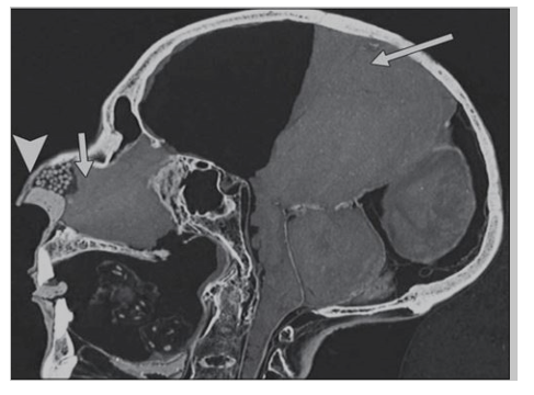
But the salt that was found is not a Natron or table−salt, but a sea− salt which contains minerals and it looks darker than table salt. Natron is sodium carbonate, sodium bicarbonate, sodium chloride, and sodium sulfate. Sea salt is composed of sodium chloride mainly with salt from elements like; calcium, magnesium salts of chloride, potassium, sulfate. And more other elements in small amounts like; bicarbonate, bromide, borate, strontium, fluoride, silicate, iodide. What Bucaille found is a sea−salt, not Natron. Maurice also, come to the conclusion that Merneptah is the Moses’s Pharaoh or the exodus Pharaoh in his book. In the Arabic translation of his book, when he said “Mernpetah is the pharaoh.” (page 294 le bible le quran la science, The Arabic version). Maurice himself disagree with Sahar Saleem when he said “both mummies were studied and undergo the same tests, both Ramses II and Merneptah (page 304). In addition, Maurice agrees with Sahar when he found that merneptah fits more to be the pharaoh of exodus and he said “this pharaoh whether he died drowning according to biblical narratives, or because of the very severe traumas that proceed the sea drowning him or both together” (page 304). Meanwhile, Sahar saleem calls the missing bones in the merneptah’s skull as “a defect” see (Figure 3, 4). She thinks it was caused by the embalmer sharp solid tool! A beveled skull fracture with longer edges of the outer table of the skull then the inner table which made by a severe penetrating trauma. The bone piece could be still inside the skull or removed by the embalmer. As well, “merneptah’s chest wall has a big opened wound that allowed Dr. Moustafa Al-Menilawy to do an endoscopy to the chest cavity which all agree that was caused by severe trauma during drowning” see (Figure 5).
Sahar Said too “Bucaille was not a surgeon, but a gastroenterologist. He requested that the mummy of Ramses II be examined in Cairo in the seventies, but he was not allowed, but rather that Egyptian Scientists examined it in the Egyptian Museum. No autopsy was performed on the mummy, according to the testimony of Dr. Gamal Mokhtar, the head of the Egyptian Antiquities Authority at the time. The mummy was sent to Paris for treatment (i.e. to stop tissue decomposition). The mummy was not received by the French president at the airport, as some claim, but by the French Minister of Higher Education. And Bucaille did not participate in the examination and was not among the members of the French team. And the mummy was never dissected in Paris. Ramses II is not an Exodus pharaoh. Because his age at death was about 87 years, and he was suffering from a curvature of the back and severe stubbing that would never have enabled him to drive a chariot, or even feel the hardship of going out. The salt in the body is an original way that the old Egyptians used to do it during mummification and there is no evidence in any mummy that this mummy death was by drowning. As for the story of Bucaille’s Islam, there is no actual evidence for it, and there is no documented video with a statement or declaration of his conversion to Islam”. Well, Dr. Bucaille announced his Islam in anatomy conference in Saudi Arabia [13]. An eye witness asked him if he reverted to Islam? and he answered yes according to Al−Rai−media TV, but he was worried “if the French knew about his Islam, he will be treated like Roger Garaudy (a French Muslim Philosopher who was prosecuted for his opinions)” [14, 15].
Figure 3: A photo of Merneptah’s body from behind shows a huge hole in Merneptah’s skull. The photo source: an article published in 1912.
Figure 4: A CT scan of Merneptah’s head on (A) the axial brain window shows a big hole in the back of his skull (posterior right side of the skull), (B) the volume rendering technique shows the hole in the skull was filled with some material for restoration, and (C) the sagittal brain window shows the bulk of intracerebral contents located more anteriorly. The CT scan source: Sahar Saleem’s published paper in the American Journal of Roentgenology in April 2013.

Figure 5: A photo of Merneptah’s body shows a big dissection line in thorax cavity which allowed to look inside the chest by a microscope. The photo source: an article published in 1912.
Ramses II Vs. Merneptah
Ramses II his body was found in 1881 CE and Merneptah’s body was found in 1898 CE both in the Valley of the Kings. Ramses II ruled from 1279 – 1213 and Merneptah ruled from 1213 – 1203. Merneptah is the son of Ramses II and his successor [16-19].
Ramses II was a tyrant that he started a war outside Egypt in Hittites’ land in Syria then he made a treaty with them and he married their ruler’s daughter. Ramses II claimed to be Gog and to be divine. He used to inscribe his own name on his predecessor’s statues including his father. If he used propaganda and took the credit of his predecessor, he will not mention he was cruel to the Israelites. And for sure, the scribers after him will not write what happened to him with Moses, the Israelites, and his own Magicians betrayed him and won against him. He is the builder and some of his buildings like Abu Simbel where Ramses II was deified. He finished the hall of columns at Karnak of Amenhotep III at Luxor which is the biggest columned room in the world until this day. He did not build the pyramids or sphinx, but he restored them. He built a city in the Delta region in Egypt. Some claim that this pharaoh can’t ride the chariots, but his picture on the chariots is everywhere on ancient Egyptian monuments. His country and city -which he built- in the Delta was conquered by the Libyans. Maybe after Ramses II drowned in the sea, they conquered because the one who dealt with it was Merneptah his son and successor. Some claim that he has a spine disorder which is known as DISH and severe kyphosis see (Figure 6). He will not capture Moses himself, but his soldiers will. The only issue found in Ramses’ body is his nose is broken on CT scan which was restored see (Figure 7).

Figure 6: Ramses II photo shows a severe kyphosis on the upper part of the thoracic spine. Photo source: A published paper in 1913.

Figure 7: A CT scan of the head of Ramses II on sagittal view shows the nose of Ramses II was broken and fixed. The CT scan source: Sahar Saleem’s published paper in the American Journal of Roentgenology in April 2013.
Merneptah was the opposite of his father. He delivered in reality what he promised when he destroyed the Libyans and took back his father’s city in the Delta. He promised he will bring Libyans “like netted fish on their bellies”. He holds the treaty with the Hittites and sends grain to them to stop the famine that they have. He never claimed to be divine, but a man of his word. He took the country to some sort of an economically and military stability until they wrote “Now God turn again toward Egypt, for King Merenptah was born” which means they knew God was angry with them. Did they write that because people conquered their land or because of what happened with Moses and the Israelites and splitting of the sea and drowning of Ramses II? Merneptah stele is a bad translation of the word “Ysrir” to “Israel” which is another Judeo-Christian attempt to connect the bible with archaeology in an obvious bad way. To compare between Ramses II and Merenptah from the Quran and the science of archaeology see (Table 2)
Table. 2: A comparison between Ramses II and his successor Merneptah.
|
Ramses II |
Merneptah |
|
(-) He was 87 when he died based on estimations. |
(-) Merneptah stele indicate the Isrealiates where removed to Cannan, it means he is not the pharaoh since it was done before him. This translation is disputed about it too because in hieroglyph Ysrir ≠ Israel and its an attempt to connect the bible with archaeology in a bad way [16]. |
|
(-) He has kyphosis, diffuse idiopathic skeletal hyperostosis (DISH), arthritis, atherosclerosis and dental issues. |
(-) Not well preserved like Ramses II. |
|
(+) He is the same pharaoh who raised Moses and chased him when Moses was 40 because this Pharaoh lived a long life. |
(-) Called a King or a Lord never called a God |
|
(+) He started a war in Syria for 20 years against the Hittites |
(-) A military reformer and care about delivering results. |
|
(+) Made a bad plan, escaped and left his soldiers face death, and he claim victory. A very self-centered person. |
(-) The injury in his skull might caused by an embalmer and the hole in his chest can be caused by an insect. |
|
(+) His city was conquered and he was not there defending it. |
(±) The hole in his chest could be made by an insect or trauma during drowning. |
|
(+) His name is “the builder” which he built the city of Ramses. |
(+) Maurice Bucaille and Sahar Saleem believed he fits more to be Moses’ Pharaoh. |
|
(+) His minister named Haman |
(+) Has a severe trauma to the skull and the chest wall. |
|
(+) His nose is the only broken bone in his skull. |
(+) The bulk of the remnant intracranial contents is located anteriorly different from all Pharaohs like; King Thutmose II, Thuya, Tiye, Amenhotep III, Ramses II, Yuya, Seti I [17]. |
|
(+) Moses came back to the same pharaoh. This pharaoh reigned for 67 years and started when he was 30 year-old. |
(+) Sea-salt was found in his body |
|
(+) Has a super ego that he deleted his father’s name from walls. |
|
|
(+) Intactness of the preservation is excellent which fits with the prophecy. |
|
|
(+) He had 152 sons and daughters (i.e. 111 sons and 51 daughters). In addition, he has 200 wives and concubines. |
|
|
(+) Used propaganda to promote himself as a strong man who won the battle of Kadesh standing alone against the enemy which did not happen. |
|
|
(+) He married the Hittites ruler’s daughter |
|
|
(+) Inscribed his own name on his predecessors statues including his father name. |
|
|
(+) He claim to be God and divine in a literal sense. |
|
|
(+) Socially today believed to be Moses’ Pharaoh between Egyptians [18, 19] |
|
(+) Means fit to be Moses’ Pharaoh, (±) Mean it can be used to qualify to be Moses’ Pharaoh or used to disqualify him from being Moses’ Pharaoh, (-) Means do not fit to be Moses’ Pharaoh.
Did the prophecy come true?
Both pharaohs’ bodies are still preserved since the Egyptians mummified them and their bodies both were sent to France to be treated to be preserved which is a fulfillment of the prophecy. Maurice Bucaille gave the best answer for this question when he said “The preservation of the mummy would prevent us from losing the only surviving physical evidence to this day. A witness of the cause of Pharaoh’s death to come out and the God will preserve his body. It is necessary for a person to work on restoring the evidence of his history, but the meaning of it here is something more than this. It is a physical evidence in a mummified body to the one who knew Moses, opposed his requests, and chased him in his escape and died during this pursuit, and God saved his body from complete destruction to become a sign for people as it is written in the Quran” (page 304 in “la bible le Quran la science”). There is drowning and the possibility of losing the body, graves thieves, insects, tissue decomposition, losing antiquities and pharaonic artifacts in the Egyptian demonstration, etc. But their bodies are both still preserved and protected until today. Both royalties are presented in the Egyptian museum and around the world which is a fulfillment of the prophecy see (Figure 8). Everything can affect the mummy’s body or the mummy could be lost if one of the street vendors sold the mummy as seen in (Figure 9), but both mummies are still in Egypt today which makes the prophecy true.
Figure 8: A photo for both Ramses II on the left and Merneptah on the right. The photo Source: Treasures of Ancient Egypt.

Figure 9: A photo of an Egyptian street vender selling mummies and pharaonic artifacts on the street. The photo source: Rare historical photos.
Conclusion
The overwhelming evidence shows that Ramses II fits more to be the pharaoh who chased Moses and the Israelites out of Egypt. The radiological investigation would help if the parts of the mummies were still inside the mummies, but since they have been removed, the radiologic scans can help in examining what is left. All that has been published which contradicts the presented evidence in this paper, do not meet the required merit to prove “wrong” what has been shown in this paper.
References
- Britannica T (2021) Editors of Encyclopaedia. Encyclopedia Britannica. https://www.britannica.com/topic/pharaoh
- Katz J (2009) The Haman Hoax. Answering Islam a Christian- Muslim dialog. http://answering-islam.org/authors/katz/ haman.html
- Smith M (2001) Pharaoh and Haman. Answering Christianity. https://www.answering-christianity.com/quran/matthew_ smith.htm
- Walter Wreszinski (1906) Agyptische Inschriften aus demK.K. Hof Museum in Wien, 1906, J. C. Hinrichs’ sche Buchhandlung, Leipzig 4: 130.
- AH Jones (2002) “HÄmÄn”, in J. D. McAuliffe (Ed.),Encyclopaedia of the Qur’an II: 399.
- Biblical Haman (2000) Qur’anic Haman: A Case of Straightforward Literary Transition?. Islamic Awareness. https://www.islamic-awareness.org/quran/contrad/external/ haman
- Ranke H, Biedenkopf-Ziehner A (1935) Die ägyptischen personennamen. Glückstadt: JJ Augustin.
- Maurice Bucaille (2021) Bucaillelegacy.com. http://www. bucaillelegacy.com/Maurice%20Bucaille.html
- Alastair D Pannell (2021) English translation of Maurice Bucaille’s book “The Bible, The Qur’an and Science”. Cia. gov. https://www.cia.gov/library/abbottabad-compound/05/05FE5F5794F40677F5E7497B2F765530_The%20Bible,The%20Qur%27an%20&%20Science.pdf
- Kashif Al-Asrar (2018) Alghad TV. Egypt: Public Broadcasting service: 2018. https://www.youtube.com/ watch?v=sqSmeLo7w7U
- Hanny Riyadh (2019) Abdel-Fattah Al-Banna in an interview with Al-Mashhad: Zahi Hawass is “accused” of stealing antiquities, and America provides him with protection!. Elmashhad https://www.elmashhad.online/Post/ details/113342
- Abdien M (2019) who protects Zahi Hawass? [Internet]. ElDostor. 2019 [cited 16 November 2021]. Available from: https://www.dostor.org/1203304
- The story of Maurice Bucaille’s inspiring conversion to Islam. Arab News. Available from: https://www.arabnews.com/ news/443500
- Al-Rai (2013) Did the famous French scientist (Maurice Bucaille) convert to Islam?. https://www.youtube.com/ watch?v=z2sZ_Td_JnQ
- Mansor A (1998) The philosopher Roger Garaudy interview on Al-Jazeera. https://www.youtube.com/ watch?v=fEpIvXjHB7Y
- Expert says text from the Merneptah Stele proves the Israelites occupied Canaan - EconoTimes. EconoTimes. https://www. econotimes.com/Expert-says-text-from-the-Merneptah-Stele- proves-the-Israelites-occupied-Canaan-1583440
- Saleem SN, Hawass Z (2013) Variability in brain treatment during mummification of royal Egyptians dated to the 18th–20th dynasties: MDCT findings correlated with the archaeologic literature. American journal of roentgenology 200: W336-44.
- Hammodah A (2020) Sheikh Ali Gomaa again: Ramses II is Moses’ Pharaoh [Internet]. Egyptian Today https://www. almasryalyoum.com/news/details/1979104
- Marie M (2020) Is Ramses II the Pharaoh of Moses? Egypt Today. https://www.egypttoday.com/Article/4/86762/Is- Ramses-II-the-Pharaoh-of-Moses
