Original article - (2025) Volume 1, Issue 2
Immunohistochemical Expression of CD10 in Prostatic Adenocarcinoma and its Association with Serum PSA at a Tertiary Hospital in Bangladesh
2Sayedatus Saba, Clinical Pathologist, Dhaka Medical College Hos- pital, Dhaka, Bangladesh
3Shahnaj Begum, Professor and Head of the Department, Department of Pathology, Sir Salimullah Medical, Bangladesh
4Ummey Qoraiman Tahira, Lecturer, Department of Pathology, Man- ikgonj, Bangladesh
5Sanjida Rahman, Curator, Department of Pathology, Uttara Adhunik Medical College, Dhaka, Bangladesh
6Afroz, Medical Officer, National Institute of Cancer Research and Hospital, Mohakhali, Dhaka,, Bangladesh
7Jannat Ara, Lecturer, Department of Pathology, Patuakhali Medical College, Barishal, Bangladesh
8Jannat Ara, Lecturer, Department of Pathology, Patuakhali Medical College, Barishal, Bangladesh
Received Date: Apr 15, 2025 / Accepted Date: Jul 23, 2025 / Published Date: Jul 29, 2025
Copyright: ©Ã?©2025 Saba S, et al. This is an open-access article distributed under the terms of the Creative Commons Attribution License, which permits unrestricted use, distribution, and reproduction in any medium, provided the original author and source are credited.
Citation: Saba, S., Hazari, T. J., Begum, S., Tahira, U. Q., Rahman, S., et al. (2025). Immunohistochemical Expression of CD10 in Prostatic Adenocarcinoma and its Association with Serum PSA at a Tertiary Hospital in Bangladesh. Arch Cienc Investig, 1(2), 01-08.
Abstract
Background: Prostate cancer is the fifth leading cause of cancer related death in elderly men worldwide. Major prognostic factors include Gleason grading, serum PSA and clinical stage. Gleason grading is a key component of prostate cancer diagnosis, since it indicates tumor aggressiveness and disease outcome. Also, CD10 immune expression in Prostatic Adenocarcinoma and its association with serum PSA level has a great prognostic significance and is directly related to the patient's fate.
Aims and Objectives: This study includes immunohistochemical expression of CD 10 in Prostatic adenocarcinoma (observed by Gleasons Grading system) and its association with serum PSA.
Materials and Methods: This is a cross-sectional observational study. The study population were the patients who undergone prostatic core needle biopsy or transurethral resection of the prostate and diagnosed as prostatic adenocarcinoma in the Department of Pathology at Sir Salimullah Medical College and Bangabandhu Sheikh Mujib Medical University. A total 70 cases were selected and among these 70 cases 61 cases were core needle biopsy and 9 were transurethral resection of prostate (TURP). Demographic and histopathological variables (age, grading of tumor and PSA value) were assessed and immunohistochemical expression of CD10 were observed. Statistical analysis was performed on the tabulated data by ANOVA and Chi Square test.
Observation and Result: Among the 70 selected cases, majority (n=18, 25.7%) of the tumors were in grade group III. In this study, intensity of CD10 expression was diffusely positive (>20%) in 47 (67.1%) cases, focal positive (5-20%) in 19 (27.1%) cases and negative (<5%) in 4 (5.7%) cases. This study found a significant association between CD10 expression and Gleason grade group. But serum PSA values did not show any significant association with CD10 expression.
Keywords
Prostatic Adenocarcinoma, Gleason’s Sore, Immunohistochemistry, CD10, PSA
Introduction
Prostate cancer is recognized as the most prevalent visceral cancer in men and stands as one of the leading causes of cancer- related mortality among elderly males across the globe. It presents a unique challenge in Bangladesh, with an incidence rate of 4.63% and a mortality rate of 1.6% (International Agency for Research on Cancer (IARC), 2018). As populations age, the incidence of prostate cancer is expected to rise, making it a significant public health concern. The disease predominantly affects older men, and its progression can vary from slow- growing tumors to aggressive, life-threatening malignancies [1]. Early detection and accurate prognosis are critical in managing the disease, influencing treatment options that range from active surveillance for indolent tumors to aggressive therapies, such as surgery and radiation, for advanced cases. Given the complexity and heterogeneity of prostate cancer, various clinical and pathological parameters are used to predict patient outcomes and guide treatment decisions [2].
Among the well-established prognostic markers for prostate cancer are the Gleason grading, preoperative serum prostate- specific antigen (PSA) levels, and clinical staging. Gleason grading, which evaluates the architectural pattern of the prostate tumor, is a vital tool in determining the tumor's aggressiveness [3]. Elevated PSA levels often indicate the presence of prostate cancer and are associated with advanced disease stages, although the PSA test is not entirely specific to cancer[4]. In addition to these, clinical staging, which considers tumor size, lymph node involvement, and metastasis, plays a crucial role in assessing the extent of the disease and predicting survival [5].
CD10, a cell surface peptidase that has been implicated in the progression of various malignancies, including prostate cancer [6]. CD10, also known as neutral endopeptidase (NEP), is involved in the breakdown of signaling peptides, which can influence cell growth and differentiation [7]. The expression of CD10 in prostate cancer has been found to vary, with some studies suggesting that its overexpression is associated with more aggressive tumors and worse patient outcomes [8]. It can be used as an ancillary prognostic predictor of prostate cancer along with serum PSA and Gleason grading.
This study aims to fill this gap in the literature by evaluating the immunoexpression of CD10 in prostatic adenocarcinoma as a valuable tool to predict the biological behavior of tumor that guides clinician to take rational measure for the patients. Also, to observe its association with serum PSA. By analyzing these markers, the research seeks to provide insights that could improve the clinical management of prostate cancer. The findings may contribute to developing more precise treatment protocols, potentially improving survival rates and quality of life for patients affected by this disease.
Methodology
This cross-sectional observational study was carried out at the Department of Pathology in Sir Salimullah Medical College and Mitford Hospital. Seventy confirmed cases of prostatic adenocarcinoma, who undergone prostatic core biopsy or transurethral resection of prostate were selected as samples for this study. Diagnoses are confirmed by histopathological well- established features and by immunohistochemistry in related cases. Thirty-seven cases were fresh and rest of the thirty-three cases were paraffin block which were recut and subsequent staining was done. Among the seventy cases, twenty cases were collected from Sir Salimullah Medical College and fifty were from Bangabandhu Sheikh Mujib Medical University, Dhaka, Bangladesh. A total of sixty-one cases were core needle biopsy, while nine cases were transurethral resection of prostate.
After grossing and recutting from paraffin blocks, slides were prepared and were stained with Haematoxylin and Eosin stain. CD 10 Anti-human mouse monoclonal antibody, Dako Denmark. IHC staining was done according to the standard protocol. The immunoreactivity of CD 10 was scored at 10 high power field (40X) and assessed according to a three-tiered system (< 5% positive cells, negative staining scored as 0; 5% - 20 % positive cells, focal staining scored as 1; > 20% positive cells, diffuse staining scored as 2) indicating the intensity of staining [8].
Results
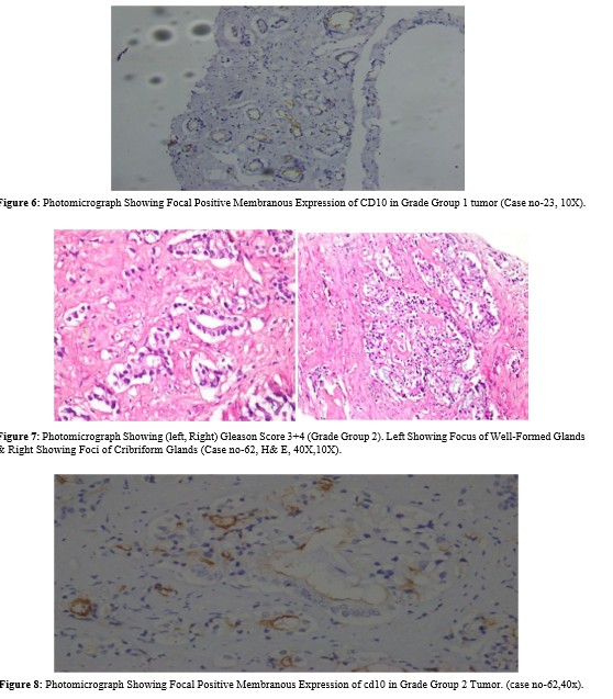
Among 70 selected cases, majority (18, 25.7%) of the cases had grade III, followed by 17(24.3%) grade IV, 16(22.9%) grade V, 12(17.1%) grade II and 7(10.0%) patients had grade I (Figure 1). Out of the total 70 study cases, 19 (27.1%) showed focal positive CD10 intensity, 47 (67.1%) displayed diffuse positive CD10 intensity and 4 (5.7%) were negative for CD10 intensity (Figure 2). There is statistically significant (p<0.05) association between WHO grade group with CD 10 intensity. Majority of study cases (4, 57.1%) with grade group I were negative for CD10 expression. A total of 15 (83.3%) cases of grade group V were diffusely positive for the expression. With increasing Gleason grade, the intensity of expression changed from focally positive to diffusely positive (p<0.001). No statistically significant association was found between serum PSA level and CD10 intensity (Table 2).

|
WHO Grade group |
CD 10 Intensity |
Total |
P value |
||
|
Focal positive |
Diffuse positive |
Negative |
|||
|
(n=19) |
(n=47) |
(n=4) |
|||
|
I |
02(28.6%) |
01(14.3%) |
04(57.1%) |
07(100.0%) |
0.001s |
|
II |
07(58.3 %) |
05(41.7 %) |
00(00.0%) |
12(100.0%) |
|
|
III |
03(20.0%) |
12(80.0%) |
00(00.0%) |
15(100.0%) |
|
|
IV |
05(27.8 %) |
13(72.2 %) |
00(00.0%) |
18(100.0%) |
|
|
V |
03(16.7 %) |
15 (83.3%) |
00(00.0%) |
18(100.0%) |
|
|
Total |
19 (27.1%) |
47 (67.1%) |
04 (05.8%) |
70(100.0%) |
|
|
significant (p<0.05) P value reached from Chi-square test. |
|||||
Table 1: Association between Gleason grade group and CD 10 Intensity
|
PSA (ng/ml) |
CD 10 Intensity |
Total |
P value |
Total |
P value |
|
Focal positive |
Diffuse positive |
Negative |
|||
|
(n=19) |
(n=47) |
(n=04) |
|||
|
02-10 ng/ml |
01(33.3%) |
01(33.3%) |
01(33.3%) |
03(100.0%) |
0.091ns |
|
11-25 ng/ml |
05(35.8%) |
08(57.1%) |
01(07.1%) |
14(100.0%) |
|
|
26-50 ng/ml |
07(28.0%) |
16(64.0%) |
02(08.0%) |
25(100.0%) |
|
|
>50 ng/ml |
06(21.4%) |
22(78.6%) |
00(00.0%) |
28(100.0%) |
|
|
Total |
19(27.1%) |
47(67.1%) |
04(05.8%) |
70(100.0%) |
|
Discussion
A diverse illness, prostate cancer has a variety of clinical manifestations, therapeutic responses, and prognosis. It might be difficult to recognize and distinguish between aggressive and indolent cancers. Aiming to forecast metastatic cancer and recurrence of disease after prostatectomy, current developing biomarkers aim to enable identification of a suitable treatment strategy for the individual patients. Numerous studies have shown that neuropeptides and CD10 are involved in the pathophysiology, development, angiogenesis, and metastatic potential of prostatic adenocarcinoma [8].
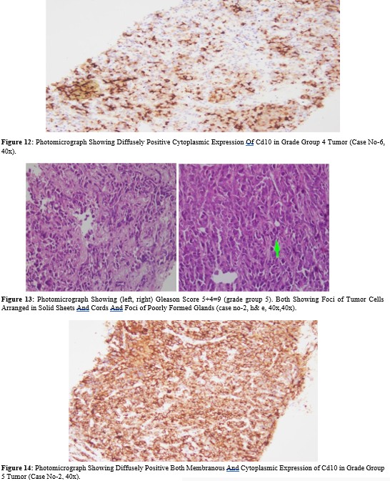
In the present study, the expression of CD10 in the cells of prostatic carcinoma was observed. The cases with Gleason grade group I and II were negative or focally positive while Gleason grade group V was diffusely positive in majority of the cases (83.3%). The intensity of CD10 expression significantly increased with high Gleason grade group. In this study significant association (p<0.001) was found between Gleason grade group and CD10 expression.
The result of a study by Suresh and his colleagues showed a strong association between CD10 expression and Gleason grading of prostatic adenocarcinoma which is in concordance with this study [9]. Dall’Era and his team observed that, the percentage of positive staining was less than 5-10% in lower Gleason grade group tumor [10]. In case of high-grade tumor, higher percentage of positive staining was found, which is similar to present study [8]. A cohort study by Fleischmann and his team identified CD10 expression as an independent risk factor in prostatic adenocarcinoma and its expression increased with the increase in Gleason grade, which is similar to present study [11].
The study of Osman and his team was in contrast to this study [7]. There was no statistically significant different in CD10 expression between cases with low and high Gleason grade tumor. It showed that lack of CD10 expression is associated with increased risk of recurrence and progression of localized prostate cancer. However, the study was performed on African-American patients, and racial differences certainly affect the result.
No significant (p>0.05) association of serum PSA levels with intensity of CD10 among prostate adenocarcinoma cases was noted. The results indicate that, increased CD10 expression in this tumor is associated with an increase in Gleason grade as an important factor influencing the prognosis. According to studies in this field, it seems that CD10 marker expression is an influential factor in the progression of prostatic adenocarcinoma [12].
Conclusion
The study demonstrates a strong association between Gleason grade group and CD10 expression in prostatic adenocarcinoma. CD10 expression, in conjunction with Gleason grading and serum PSA levels, can provide significant prognostic information, potentially guiding more effective clinical management of the disease.
References
- Rawla, P. (2019). Epidemiology of prostate cancer. World journal of oncology, 10(2), 63.
- McKenney, J. K. (2018). Testis and testicular adnexa. Rosai and Ackerman Surgical Pathology. Goldblum JR, Lamps LW, McKenney JK, et al.
- Gleason, D.F., Mellinger, G.T., 1974. Prediction of prognosis for prostatic adenocarcinoma by combined histological grading and clinical staging. The Journal of Urology, vol.111(1), pp. 58-64.
- Lila, K., Chadha, K., Barodawala, S.M., Kavishwar, V.S., Murthy, A.K., 2022. Prostate - Specific Antigen, an Effective Screening Tool for Prostate Cancer - An Analysis of 932 TRUS Core Needle Biopsies. International Journal of Health Sciences and Research, vol. 12(3), pp. 32-38.
- Bostwick, D. G., Burke, H. B., Djakiew, D., Euling, S., Ho, S. M., Landolph, J., ... & Timms, B. (2004). Human prostate cancer risk factors. Cancer: Interdisciplinary International Journal of the American Cancer Society, 101(S10), 2371- 2490..
- Sumitomo, M., Shen, R., & Nanus, D. M. (2005). Involvement of neutral endopeptidase in neoplastic progression. Biochimica et Biophysica Acta (BBA)- Proteins and Proteomics, 1751(1), -5259.
- Osman, I., Yee, H., Taneja, S. S., Levinson, B., Zeleniuch- Jacquotte, A., Chang, C., ... & Nanus, D. M. (2004). Neutral endopeptidase protein expression and prognosis in localized prostate cancer. Clinical cancer research, 10(12), 4096- 4100.
- Singh, L., Marwah, N., Bhutani, N., Pawar, D., Kapil, R., & Sen, R. (2019). Study the expression of CD10 in prostate carcinoma and its correlation with various clinicopathological parameters. Iranian Journal of Pathology, 14(2), 135.
- Saranya, D. (2017). Analysis of immunohistochemical expression of CD10 in the malignant lesions of prostate. IOSR-J of Dental and Med Sci, 16, 78-82.
- Dall'Era, M. A., True, L. D., Siegel, A. F., Porter, M. P., Sherertz, T. M., & Liu, A. Y. (2007). Differential expression of CD10 in prostate cancer and its clinical implication. BMC urology, 7, 1-11.
- Fleischmann, A., Schlomm, T., Huland, H., KoÃÃÂ???llermann, J., Simon, P., Mirlacher, M., ... & Erbersdobler, A (2008). Distinct subcellular expression patterns of neutral endopeptidase (CD10) in prostate cancer predict diverging clinical courses in surgically treated patients. Clinical cancer research, 14(23), 7838-7842.
- Ghasemi, A., Nadoushan, M. J., & Sedaghat, R. (2021). Evaluation of CD10 Expression and Its Relationship with Gleason Score in Prostatic Adenocarcinoma. Journal of Babol University of Medical Sciences, 23(1).





