Research Article - (2024) Volume 3, Issue 1
A Rare Case of Partial Uterine Perforation With Transcient Herniation of Bowel Loops Into It
Received Date: Apr 10, 2024 / Accepted Date: Apr 22, 2024 / Published Date: Jul 22, 2024
Copyright: © 2026 This is an open-access article distributed under the terms of the Creative Commons Attribution License, which permits unrestricted use, distribution, and reproduction in any medium, provided the original author and source are credited.
Citation: Saranya, R., Agrawal, R., Pande, S., Singh Kushwah, A. P., Rathore, V. S. (2024). A Rare Case of Partial Uterine Perforation With Transcient Herniation of Bowel Loops Into It. World J Radiolo Img, 3(1), 01-02.
Abstract
Uterine perforation is an uncommon however a serious complication of major intrauterine procedures including dilatation and curettage,diagnostic and operative hysteroscopy, surgical evacuation. There is increased risk of uterine perforation with reduced access to the endometrial cavity as in cervical stenosis, severe anteflexion/ retroflexion of the uterus , pregnancy, lactation or post any uterine procedure that reduce the strength of the myometrial wall.
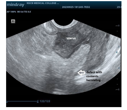
A 30-year-old female with a history of amenorrhea, bleeding, and a history of MTP pills was admitted to a private hospital. She experienced continuous bleeding for 8 days and was referred to a tertiary care hospital for further evaluation. On pelvic ultrasound, there was 10mm rent in the uterine fundus through which bowel loops and mesentery were seen herniating.
Case Report
Here we report the case of a 30 yr female, G6P5L4A1, with history of 3 months of amenorrhea, following which she took MTP pills. This was followed by an episode of bleeding after which she reached a private hospital where manual evacuation was attempted. This was followed by continuous bleeding for 8 days following which she went to a district hospital, where a second evacuation was performed. Following this, the patient was referred to the tertiary care hospital for further evaluation.
On palpation, the abdomen was soft, non-tender to touch, without significant organomegaly. Per vaginal examination revealed no significant mass, no bleeding present.
The patient was sent to our department for screening ultrasonogram of the pelvis. On TAS, the uterus was normal in size, with a 10 mm sized rent at the fundus region of the uterus, which extended through and through the myometrial plane into the serosal layer abutting the endometrial cavity, through which echogenic content was seen herniating. On transvaginal ultrasound, bowel loops and mesentery were seen herniating into the defect. There was minimal intra peritoneal collection noted in the cul-de-sac.
Discussion
Uterine perforations following crude operative procedures could lead to serious complications that require prompt recognition and emergent management. Improved surgical techniques, diligent post operative care can reduce the occurrence of these complications.
In our case, the patient has bowel loops and mesenteric fat herniating into the uterine perforation at the fundus region of the uterus This could be attributed to her parity and repeated evacuation of the uterine cavity. In a meta analysis done by ZorilÄ? et al(3), uterine perforation is common in the fundus region, which allows the omentum and other abdominal organs to enter the uterine cavity. Myometrial characteristics, such as contractility, can explain the absorption of the omentum or intestines, even if ultrasound shows only the perforation site and an empty cavity after the procedure.
References
- Shakir, F., & Diab, Y. (2013). The perforated uterus. The Obstetrician & Gynaecologist, 15(4), 256-261.
- Sullivan, B., Kenney, P., & Seibel, M. (1992). Hysteroscopic resection of fibroid with thermal injury to sigmoid. Obstetrics & Gynecology, 80(3 Part 2), 546-547.
- Zorila, G. L., Capatinescu, R. G., Dragusin, R. C., Istrate- Ofiteru, A. M., Bernad, E., Dobie, M., ... & Iliescu, D. G. (2023). Uterine Perforation as a Complication of the Intrauterine Procedures Causing Omentum Incarceration: A Review. Diagnostics, 13(2), 331.

Figure 1: Shows the omental and intestinal contents herniating into the uterine myometrium just abutting the endometrium

